Which of the Following Best Describes a Karyotype


2 5 Karyotypes Describe Chromosome Number And Structure Biology Libretexts


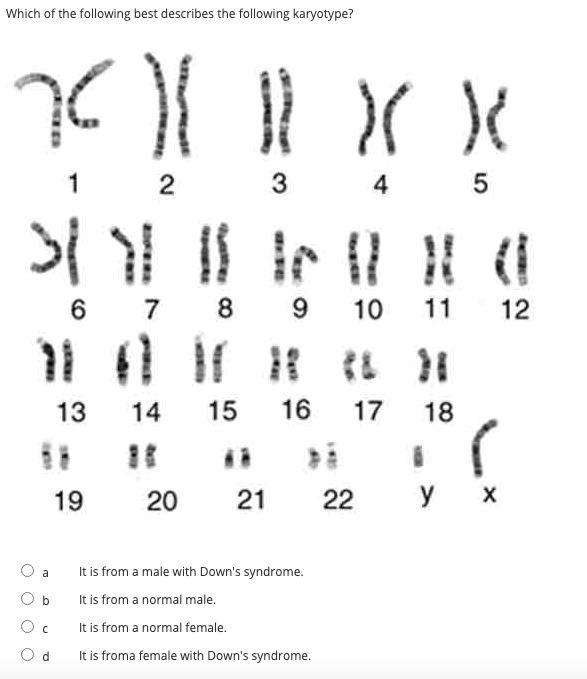
Solved Which Of The Following Best Describes The Following Chegg Com


What Is A Karyotype Chromosome18


Teaching Anatomy Chromosome And Chromosomal Disorders Chromosomal Disorders Dna Research Genetics

No comments for "Which of the Following Best Describes a Karyotype"